Creating beautiful smiles
We want each of our patients to leave with a smile they’re proud of. In our smile gallery, you’ll find before and after photos of patient smiles Dr Howard Holmes has achieved with excellent orthodontic treatment.
Before and afters
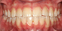
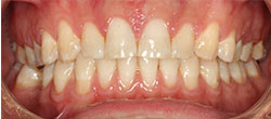
Before

After



- Patient 1 Age: 22 years
- Presenting complaint: Crooked teeth and crossbite
- Treatment provided: Invisalign Clear Aligners
- Active treatment time: 14 months
Before

After



- Patient 2 Age: 15 years
- Presenting complaint: Crowding and Openbite
- Treatment provided: Invisalign Teen Clear Aligners
- Active treatment time: 10 months
Before

After



- Patient 3 Age: 15 1/2 years
- Presenting complaint: Crooked and crowded teeth
- Treatment provided: Upper and lower braces
- Active treatment time: 20 months
Before

After



- Patient 4 Age: 11 years
- Presenting complaint: Severe crowding and asymmetry.
- Treatment provided: Upper and lower braces.
- Active treatment time: 24 months
Before

After



- Patient 5 Age: 9 years
- Presenting complaint: Narrow upper jaw and crowding
- Treatment provided: Quadhelix expansion appliance, Upper and lower Braces
- Active treatment time: 22 months
Before

After



- Patient 6 Age: 13 years
- Presenting complaint: Severe irregularity of upper front teeth.
- Treatment provided: Upper and lower braces
- Active treatment time: 18 months
Before

After



- Patient 7 Age: 12 years
- Presenting complaint: Crooked teeth and deep overbite
- Treatment provided: Upper and lower braces
- Active treatment time: 19 months
Before

After



- Patient 8 Age: 14 years
- Presenting complaint: Crooked teeth and crossbite
- Treatment provided: Upper Braces Only
- Active treatment time: 12 months
Before

After



- Patient 9 Age: 13 years
- Presenting complaint: Impacted upper canines, Peg lateral incisors and generalised dental irregularity.
- Treatment provided: Surgical exposure of Impacted canines (Dr Jane McCarthy), restoration of peg laterals (Dr Peter Readman) and upper and lower braces
- Active treatment time: 24 months
Before

After



- Patient 10 Age: 14 years
- Presenting complaint: Crooked and crowded teeth.
- Treatment provided: Upper and lower braces.
- Active treatment time: 13 months
Before

After



- Patient 11 Age: 12 years
- Presenting complaint: Crooked teeth, narrow upper jaw and open bite
- Treatment provided: Upper jaw expansion appliance (RME), Upper and lower braces
- Active treatment time: 24 months
Before

After



- Patient 12 Age: 7 1/2 years
- Presenting complaint: Crooked and crowded teeth
- Treatment provided: Orthopaedic facemask.
- Active treatment time: 9 months
Before

After



- Patient 13 Age: 26 years
- Presenting complaint: Crooked top teeth and recessive lower jaw
- Treatment provided: Upper and lower braces with Lower jaw advancement surgery
- Active treatment time: 22 months
Before

After



- Patient 14 Age: 25 years
- Presenting complaint: Large gap between front teeth
- Treatment provided: Upper braces only
- Active treatment time: 20 months
Before

After



- Patient 15 Age: 50 years
- Presenting complaint: Failed childhood orthodontics, crooked teeth and flat facial profile
- Treatment provided: Upper and lower braces with jaw advancement surgery (Surgeon - Dr Evan Kakulas)
- Active treatment time: 21 months